
O Invisalign é um aparelho transparente e removível, feito sob medida para alinhar os dentes de forma discreta. Com alinhadores confortáveis e praticamente invisíveis, ele corrige o sorriso sem bráquetes ou fios, oferecendo liberdade e flexibilidade durante todo o tratamento.
Alinhadores Invisalign®




Aparelho convencionais metálico e estéticos
O aparelho fixo é o modelo clássico da ortodontia, reconhecido pela resistência e eficiência no alinhamento dental. É a opção tradicional e acessível, indicada para diferentes tipos de correções, garantindo resultados seguros e eficazes.
Já os aparelhos de porcelana e safira são escolhas ideais para quem deseja discrição sem abrir mão da eficácia. Produzidos com materiais de alta qualidade, são menos perceptíveis que os metálicos e proporcionam um visual mais elegante e harmonioso ao longo do tratamento.


Aparelho autoligado metálico e de porcelana
O aparelho autoligado dispensa as borrachinhas elásticas, reduzindo o atrito e tornando o tratamento confortável. Com menos manutenções, garante praticidade sem abrir mão da eficiência e dos resultados estéticos.


A ortodontia preventiva e interceptiva atua na infância para corrigir precocemente alterações no crescimento ósseo e dentário. Com tratamentos simples, orienta o desenvolvimento da arcada, melhora a mordida e favorece funções como respiração e mastigação, prevenindo problemas futuros e garantindo um sorriso saudável.
Ortodontia preventiva e interceptiva


Aparelhos






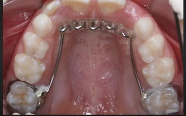
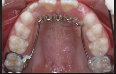
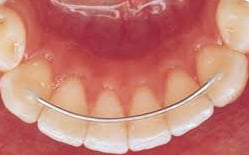
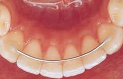
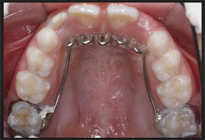
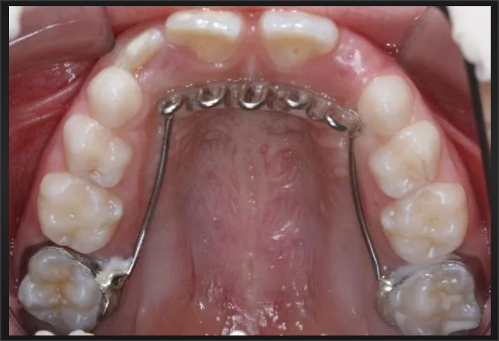
Contenções
As contenções são aparelhos utilizados após o tratamento ortodôntico para manter os dentes na posição correta e garantir a estabilidade dos resultados. Ao final da fase ativa, não podemos esquecer da fase de contenção que também faz parte do seu tratamento. Elas evitam que os dentes voltem a se mover, preservando o novo sorriso alinhado e saudável.








O iTero é um scanner digital de última geração que substitui as moldagens tradicionais com massa, trazendo muito mais conforto e precisão para o paciente. Em poucos minutos, ele captura imagens em 3D da boca, permitindo visualizar em tempo real como está sua saúde bucal e até simular o resultado final do tratamento ortodôntico, como no caso do Invisalign. É tecnologia a favor da confiança e da previsibilidade, garantindo um planejamento mais seguro e eficaz.
